
25.11.14 연세더미소교정과의원_블로그형 홈페이지 스킨(pc)

25.11.14 연세더미소교정과의원_블로그형 홈페이지 스킨(m)
우리 아이 치아 교정치료 언제 ? “나중에 커서 하면 안 되나요?” 턱 성장을 이용한 교정 골든타임 신촌교정치과 연세더미소치과 교정전문의 강대운원장의 교정이야기
연세더미소치과교정과치과
2026-01-19
안녕하세요, 2005년부터 신촌에서 교정치료와 교정환자의 충치와 잇몸 건강을 관리하고 책임지고 있는 신촌 교정치과 연세더미소치과 치의학박사 교정 전문의 강대운 원장입니다. 환자와 소통하도록 노력하고 더 좋은 결과를 얻기 위해 고민하고 있습니다.…
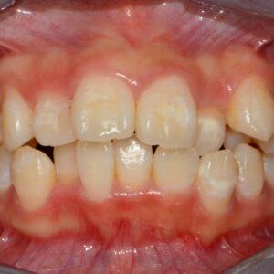
불규칙한 치열, 입술돌출을 동반한 2급 부정교합 신촌교정치과 연세더미소치과 교정전문의 강대운원장 치료증례
연세더미소치과교정과치과
2025-12-29
안녕하세요 2005년 부터 한 자리에서 교정치료와 교정환자의 충치와 잇몸건강을 관리하고 책임지고 있는 신촌교정치과 고운미소 신촌1호점 치의학박사 교정전문의 강대운원장입니다. 환자와 소통하도록 노력하고 더 좋은 결과를 얻기 위해 고민하고 있습니다. 결과만 좋은…
치과 선택 실패하지 않는 법! 교정 상담 전 꼭 체크해야 할 3가지! 신촌교정치과 연세더미소치과 교정전문의 강대운원장의 교정이야기
연세더미소치과교정과치과
2025-12-24
대표사진 삭제 AI 활용 설정 사진 설명을 입력하세요. 안녕하세요, 2005년부터 신촌에서 교정치료와 교정환자의 충치와 잇몸 건강을 관리하고 책임지고 있는 신촌 교정치과 연세더미소치과 치의학박사 교정 전문의 강대운 원장입니다. 환자와 소통하도록 노력하고…
신촌치과 성인 교정이 필요한 그리고 좋은 이유! 신촌교정치과 연세더미소치과 교정전문의 강대운원장의 교정이야기
연세더미소치과교정과치과
2025-12-15
안녕하세요, 2005년부터 신촌에서 교정치료와 교정환자의 충치와 잇몸 건강을 관리하고 책임지고 있는 신촌 교정치과 연세더미소치과 치의학박사 교정 전문의 강대운 원장입니다. 환자와 소통하도록 노력하고 더 좋은 결과를 얻기 위해 고민하고 있습니다.…
교정 중 구강 관리, 이것만 지키자! (충치 & 잇몸병 예방 가이드) 신촌교정치과 연세더미소치과 교정전문의 강대운원장의 교정이야기
연세더미소치과교정과치과
2025-12-09
안녕하세요, 2005년부터 신촌에서 교정치료와 교정환자의 충치와 잇몸 건강을 관리하고 책임지고 있는 신촌 교정치과 연세더미소치과 치의학박사 교정 전문의 강대운 원장입니다. 환자와 소통하도록 노력하고 더 좋은 결과를 얻기 위해 고민하고 있습니다.…
교정중 일어나는 정상적인 증상들과 빨리 대처해야 하는 응급상황들 !! 신촌교정치과 연세더미소치과 교정전문의 강대운원장의 교정이야기
연세더미소치과교정과치과
2025-12-09
안녕하세요, 2005년부터 신촌에서 교정치료와 교정환자의 충치와 잇몸 건강을 관리하고 책임지고 있는 신촌 교정치과 연세더미소치과 치의학박사 교정 전문의 강대운 원장입니다. 환자와 소통하도록 노력하고 더 좋은 결과를 얻기 위해 고민하고 있습니다.…




